Емшектегі түйінді қалай кетіруге болады: себептері, емдеу және алдын алу жолдары
Кеудедегі түйін не тығыздалу қабыну және қабынусыз аурулардан, сүт безінің қатерлі емес немесе қатерлі ісіктерінен пайда болуы мүмкін. Сондай-ақ ол жарақаттардан, хирургиялық немесе эстетикалық оталардан кейін де байқалады. Бұл жағдай әдетте тіндердің бір бөлігінің қатты әрі тегіс немесе бұдырлы болып сезілуімен сипатталады. Кейде оған ауырсыну, кеуде пішінінің өзгеруі, емшек ұшынан бөлінділердің шығуы және басқа белгілер қатар жүреді. Себебін анықтау үшін дәрігер науқасты сұхбаттап тексереді, сырттай қарау жүргізеді, УДЗ, маммография, МРТ, биопсия және зертханалық талдаулар жасайды. Өзін-өзі емдеу қауіпті, сондықтан міндетті түрде маманға шұғыл қаралу қажет. Сонымен қатар, «емшектегі түйінді қалай кетіруге болады» деген сұраққа нақты жауап береміз.
Кеудедегі тығыздалудың пайда болу себептері

Қабыну аурулары
Сүт безіндегі ең жиі кездесетін қабыну патологиясы – мастит. Ол көбіне стафилококктардан туындайтын бейспецификалық микрофлораның әсерінен дамиды. Клиникалық тәжірибеде маститтің мынадай түрлері ажыратылады:
- Лактациялық мастит. Нәрестені емізу кезінде дамиды, әдетте сүттің тоқтап қалуынан (лактостаз) пайда болады. Кейде айқын белгілерсіз-ақ өршуі мүмкін.
- Лактациялық емес мастит. Жіті немесе созылмалы түрде өтеді. Жарақат, соғылу, күйік, үсік нәтижесінде асептикалық қабынудан туындайды. Кей жағдайда екіншілік инфекция қосылады.
- Іріңсіз мастит. Тіндер серозды сұйықтықпен сіңіріледі немесе инфильтрат түзіледі. Әсіресе инфильтративті түрінде тығыздалу айқын сезіледі.
- Іріңді мастит. Сүт безінде абсцесс немесе флегмона түрінде дамиды. Бірнеше күннен соң инфильтрат ортасында флуктуация байқалады.
- Галактофорит. Бұл сүт безі өзектерінің қабынуынан туындайтын маститтің ерекше түрі.
Маститтің ортақ белгілері: ауырсыну, ісіну, тығыздалу, әлсіздік, дене қызуының көтерілуі және улану синдромы. Ең айқын симптомдар іріңді түрінде, әсіресе бала емізу кезеңінде байқалады. Ал лактациялық емес және іріңсіз мастит жеңілірек өтеді.
Сізде шағым бар ма? Бізге жазыңыз
Ерекше инфекциялар
Кеудедегі тығыздалу сирек жағдайда туберкулез немесе мерез секілді ерекше инфекциялық аурулардың салдарынан дамиды.
- Туберкулез. Бұл кезде сүт безі ұлғайып, үстіндегі тері қызарады. Ошақ көлемі кішкентай қозғалмалы түйіннен бастап, айналасындағы тіндермен бітісіп кеткен үлкен қатты конгломератқа дейін әртүрлі болуы мүмкін. Науқаста жалпы туберкулез белгілері – әлсіздік, тершеңдік, арықтау, тәбеттің жоғалуы, ұзаққа созылған дене қызуы байқалады.
- Мерез. Сүт безінің мерездік зақымдануы бастапқы, екінші немесе үшінші кезеңде көрінуі мүмкін.
- Бастапқы кезеңде – ортасында жарасы бар, қатты әрі дерлік ауыртпайтын түйін (қатты шанкр) түзіледі.
- Екінші кезеңде – жалпы белгілер мен терідегі бөртпелер басым болады.
- Үшінші кезеңде – шамамен 2 см болатын қатты инфильтрат (гумма) пайда болып, кейін ауыртпайтын жараға айналады. Кейде бұл жағдай созылмалы маститке ұқсайтын диффузды тығыздалумен көрінеді.
Мастопатия
Мастопатияның негізгі белгісі – сүт безі тінінде пайда болатын ұсақ, түйіршікті, жиі ауырсынумен жүретін ошақтар. Бұл аурудың бірнеше түрі бар:
- Фиброзды мастопатия. Диффузды аденоматоздың бір түрі. Кеуде ішінде тығыз дәнекер тін ошақтары түзіледі.
- Фиброзды-кистозды мастопатия. Тағы бір диффузды патология нұсқасы. Мұнда фиброз аймақтарымен қатар көптеген кисталар анықталады.
- Түйінді мастопатия. Ошақты түрі. Шектелген, қозғалмалы, айналасындағы тіндермен бітіспеген түйіндердің пайда болуымен сипатталады.
- Аденоз. Фиброзды-кистозды форманың бір тармағы. Диффузды немесе ошақты болуы мүмкін. Кеудедегі ауырсыну, ісіну, патологиялық бөлінділермен білінеді.

Қатерсіз ісіктер
Кейбір қатерсіз ісіктер түйінді мастопатияның түрлері ретінде қарастырылады. Олар баяу өседі, айналадағы тіндерге таралмайды және метастаз бермейді.
- Фиброма. Дәнекер тіннен дамиды. Тегіс, қатты, ауыртпайтын түйін түрінде байқалады. Менструация алдында керілу сезімі болуы мүмкін.
- Аденома. Безді эпителийден түзіледі. Көбіне шағын көлемді, ауыртпайды, сондықтан профилактикалық тексеруде анықталады. Қолмен ұстағанда шар тәрізді немесе домалақ түйін сезіледі.
- Фиброаденома. Дәнекер және эпителий жасушаларынан тұрады. Қозғалмалы, ауыртпайтын, тегіс немесе бұдырлы болуы мүмкін.
- Липома. Май тінінен дамиды. Гладкий, серпімді, әдетте шағын көлемді. Кейбір липомалар өте ірі болып, кеуденің сыртқы пішінін өзгертеді.
- Фибролипома. Май және дәнекер тіннен құралады. Қатты, қозғалмалы, серпімді, ауыртпайтын. Өлшемі шағын да, үлкен де болуы мүмкін, кейде айқын косметикалық ақау тудырады.
- Киста. Іші сұйықтыққа толы қуысты түзіліс. Тік тұрған кезде домалақ немесе дұрыс емес пішінді тегіс түйін ретінде байқалады. Ал көлденең күйде пальпациялағанда сезілмей қалады.
- Галактоцеле. Сүт өзектерінің бітелуінен дамитын киста. Ішінде өзгермеген сүт немесе ірімшік тәрізді масса болады. Жұмсақ, серпімді, ұзақ уақыт бойы белгісіз өтуі мүмкін, көбіне үлкен өлшемге жеткенде анықталады.
- Ішкі өзектік папиллома. Сүт өзегінде түзіледі. Басқа қатерсіз ісіктерден айырмашылығы – түйін пайда болардың алдында емшек ұшынан бөлінділердің шығуымен көрінеді.
Жапырақтәрізді ісік
Жапырақтәрізді ісік қатерсіз бен қатерлі түзілімдердің аралық түріне жатады. Ол жалғыз да, көптік те болып, бір немесе екі сүт безін бірдей зақымдауы мүмкін. Әдетте екі фазалы дамуымен ерекшеленеді: алдымен баяу үлкею кезеңі байқалады, кейіннен ісік күрт жылдам өсіп, кейде алып көлемге дейін жетеді. Ісіктің қатерлілік деңгейі оның өлшеміне тікелей байланысты емес: алып ісіктер кейде қатерсіз өтеді, ал кішкентайлары керісінше – метастаз беруі мүмкін.
Қатерлі жаңа түзілімдер
Сүт безінің қатерлі ісіктерінің ішінде ең жиісі – рак. Ол эпителий жасушаларынан дамиды. Бастапқы кезеңде айқын белгілерсіз өтіп, қолмен тексергенде қатты түйін ретінде сезіледі. Жылдам өсіп, бұлшықетке, теріге және теріасты май тініне таралады. Өсу барысында қозғалғыштығын жоғалтып, сүт безін деформациялайды, кейде жараға айналады.
Рактың негізгі түрлері:
- Гормонға тәуелді рак. Барлық жағдайлардың 30–60%-ын құрайды. Ісіктің 10%-дан астам жасушалары әйел гормондарына сезімтал. Емдеу кешенінде операция, химия және сәулелік терапиямен қатар гормонотерапия қолданылады.
- Жүкті әйелдердегі рак. Жүкті, бала емізіп жүрген немесе босанғаннан кейінгі 1 жыл ішінде анықталады. Сүт безіндегі табиғи өзгерістер аясында пайда болып, диагноз қоюды қиындатады. Емдеу тәсілдері шектеулі, әсіресе әйел баланы сақтап қалуды таңдаса.
- Үштік негативті рак. Жасушаларда гормон рецепторлары болмайды, сондықтан ауру ағымы ағзадағы циклдік өзгерістерге байланысты емес. Қатерлі түзіліс жылдам әрі агрессивті өседі.
- Тұқым қуалайтын рак. Генетикалық мутациялармен байланысты, отбасылық анамнезі қолайсыз жағдайда дамиды. Ерекшеліктері – ерте басталуы, екі жақты зақымданудың жиілігі және басқа қатерлі ісіктермен қатар жүруі.
- Қайталамалы рак. Радикалды органсақтаушы операциядан кейін сүт безінің қалған бөлігінде түйіннің қайтадан пайда болуымен сипатталады.
- Педжет рагы. Сосково-ареолярлы кешенді зақымдайды. Негізгі белгілері – бөлінділер мен емшек ұшының өзгерістері. 50% жағдайда тығыздалу анықталады.
- Инвазивті өзектік карцинома. Сүт өзектерінің эпителийінен дамиды, сүт безі рагының ең көп таралған түрі болып саналады. Кейде инвазивті емес рак сәтті емделгеннен кейін біраз уақыттан соң дамуы мүмкін.
Сүт безінің саркомасы
Саркома сүт безінің эпителийінен емес, стромалық элементтерінен дамиды: қан тамырларынан, май, бұлшықет, шеміршек немесе сүйек тінінен. Өте сирек кездеседі. Әдетте анық шекаралы, бұдырлы беткейлі тығыз түзіліс түрінде байқалады. Өсу жылдамдығы әртүрлі болуы мүмкін: кейде баяу дамиды, ал тез үдегенде абсцесске ұқсап кетеді.
Жарақаттық зақымданулар
Кеудедегі тығыздалу кейде тұрмыста құлағаннан, спортпен шұғылдану кезінде соғылғаннан немесе жол апатында рульге соғылудан кейін пайда болады. Сүт безінің соғылуы ауырсынумен, жұмсақ тіндердің ісінуімен білінеді. Кеудеде ауырсынатын ісікше – гематома түзіледі. Кейде емшек ұшынан түссіз немесе қан аралас бөлінділер шығуы мүмкін.
Гематома сорылғаннан кейін көбіне некроз ошағы қалыптасып, ол дәнекер тінімен алмасады. Сондықтан мұндай тығыздалу кейбір әйелдерде өмір бойы сақталуы ықтимал. Сонымен қатар, өзгерген тіндердің қатерлі ісікке айналу қаупі жоғарылайды.
Аурулар, жарақаттар мен операциялардың салдары
Кеудедегі тығыздалу басқа дерттердің әсерінен, жарақат кезінде тіндердің зақымдануынан, көлемді түзілістерге жасалған хирургиялық оталардан немесе эстетикалық операциялардан кейін де дамуы мүмкін. Негізгі себептер:
- Май некрозы. Жарақаттардан кейін немесе медициналық араласулардан соң пайда болады. Қатты инфильтрат түзіледі. Тығыздалу домалақ, ауырсынатын, терімен бітіскен болады. Кейде деформация және емшек ұшының ішке тартылуы байқалады.
- Кальцинаттар. Сүттің тоқтап қалуынан, әртүрлі аурулардан, жасқа байланысты өзгерістерден немесе қандағы кальцийдің жоғарылауынан дамиды. Көп жағдайда ешқандай белгі бермейді, кездейсоқ анықталады. Терінің астында орналасса, ауыртпайтын қатты түйіндер ретінде сезіледі.
- Капсулалық контрактура. Кеудеге имплантат орнатқаннан кейін туындайды. Ағзадағы кез келген бөгде заттың айналасында дәнекер тін өсіп, қалыңдайды да эндопротезді қысады. Соның нәтижесінде кеуденің пішіні аздап немесе айқын өзгеруі мүмкін.
- Полиакриламидті гель түйіндері. Кеудені ұлғайту мақсатында бұл зат енгізілген жағдайда пайда болады. Уақыт өте келе гель капсуламен қапталып, бұдырлы ошақтар, ұсақ көптік түйіндер түзіледі. Кейде бұл «жүзім шоғырына» ұқсайды.
Сүт безінің басқа патологиялары

Кеудедегі тығыздалуға әкелуі мүмкін бірқатар жағдайлар бар:
- Лактостаз. Бала емізу кезінде ауырсынатын түйіндер пайда болады. Кеуде ауырлап, тартылғандай сезім береді. Емізуден кейін белгілер әлсірейді. Сүттің ұзақ уақыт тоқтап қалуы жергілікті қызудың жоғарылауына, жалпы дене қызуының көтерілуіне әкелуі мүмкін.
- Өзектердің эктазиясы. Көбіне гормондық өзгерістер немесе басқа сүт безі аурулары аясында дамиды. Белгілері: ісіну, ауырсыну, қышу, күйдіру сезімі, емшек ұшы-ареола аймағынан ақшыл немесе жасыл түсті бөлінділер шығуы.
- Емшек ұшының қабынуы. Негізгі себебі – бактериялар, сирек жағдайда саңырауқұлақтар немесе вирустар. Ареолада тығыздалу, ауырсыну, ісіну, қызару, мөлдір, іріңді немесе қан аралас бөлінділер бөлінуімен сипатталады.
- Емшек ұшының экземасы. Әдетте бала емізудің алғашқы апталарында дамиды. Қышу, эрозиялар, қабыршақтану байқалады. Егер тері екіншілік бактериялық инфекцияға шалдықса, беткі тығыздалулар пайда болады.
- Сүт бездерінің инволюциясы. 50 жастан кейін жиі кездеседі. Өзі тарайтын ұсақ ошақтар түзіледі. Кейде инволюция фиброзды-кистозды түрде өтеді, бұл кезде әртүрлі диаметрдегі серпімді, қозғалмалы домалақ түйіндер қалыптасады.
Басқа себептер
Кеудедегі тығыздалулар кейде сүт безімен тікелей байланысты емес аурулардың аясында дамиды. Олар әйелдерде де, ерлерде де байқалуы мүмкін:
- Ходжкин емес лимфома. Лимфома сүт безі аймағында орналасса, қолмен тексергенде шекарасы анық түйін немесе диффузды тығыздалу сезіледі.
- Параплеврит. Сирек кездеседі. Туберкулездік плевриті бар науқастарда қабыну жақын орналасқан тіндерге тарағанда дамиды. Кеуденің алдыңғы немесе алдыңғы-бүйір бетінен, әдетте 4–6 қабырғааралық деңгейде қатты ісікше пальпацияланады.
- Гинекомастия. Ер адамдарда сүт безінің үлкеюі тіндердің тығыздалуымен бірге жүреді.
Диагностика
Диагностиканы маммолог дәрігер жүргізеді. Маман науқастан симптомдардың қашан және қандай жағдайда пайда болғанын анықтайды, аурудың даму динамикасын зерттейді. Сүт безін тексеру барысында дәрігер емшек ұшы-ареола аймағының, терінің және тіндердің жағдайын бағалайды, деформацияларды анықтайды, тығыздалудың орналасуын, көлемін, консистенциясын, қозғалғыштығын тексереді, аймақтық лимфа түйіндерін пальпациялайды. Диагнозды нақтылау үшін төмендегі зерттеу әдістері қолданылады:
- Сонография. Сүт безін зерттеудің қауіпсіз әрі негізгі әдісі. Ісіктерді, қабыну аймақтарын, құрылымдық аномалияларды анықтайды. Жас әйелдерге көбірек тиімді, өйткені олардың кеуде тіндері тығыз, ультрадыбыстық зерттеуде жақсы көрінеді.
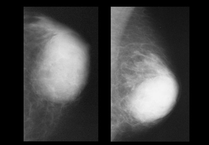
- Маммография. Рентгенологиялық әдістің бір түрі. Егде жастағы әйелдерге жиі қолданылады. Фиброзды өзгерістерді, ісік тәрізді түзілістерді көрсетеді. Ақпараттылығын арттыру үшін дуктографиямен толықтырылуы мүмкін. Нәтижелері күмәнді болса, цифрлық томосинтез жасалады. Кисталары бар науқастарға пневмокистография жүргізіледі.
- Сүт безінің биопсиясы. Тін үлгісін алу үшін пункция, жіңішке инелі немесе трепан-биопсия ультрадыбыстық не рентген бақылауымен жасалады. Алынған материал микробиологиялық зерттеуге (қоздырғышты анықтау үшін), цитологиялық не гистологиялық талдауға (қатерлілікті жоққа шығару үшін) жіберіледі.
- Басқа бейнелеу әдістері. МРТ және сцинтиграфия ісіктің нақты өлшемін, орналасуын анықтауда және хирургиялық тактиканы таңдауда қолданылады. Эндопротезі бар пациенттерге көрсеткіш бойынша кеуде импланттарының МРТ-бақылауы жүргізіледі.
- Зертханалық талдаулар. Жыныс гормондарының деңгейін анықтау, онкомаркерлерге тест, қан талдауы (қабынудың ауырлығын бағалау үшін), сүт безі бөлінділерінің микробиологиялық зерттеуі тағайындалады.
Емдеу

Госпитальға дейінгі көмек
Кеудедегі тығыздалу қауіпті дерттің белгісі болуы мүмкін, дер кезінде көмек көрсетілмесе ауыр асқынуларға әкеледі. Мұндай жағдайда өзін-өзі емдеуге болмайды. Қатты ауырсынғанда бір реттік анальгетик қабылдауға рұқсат. Тығыздалу анықталған соң дереу маммологқа қаралу қажет.
Консервативті терапия
Емдеу тактикасы кеудедегі тығыздалудың себебіне байланысты таңдалады. Этиотроптық, патогенетикалық, симптоматикалық препараттар және физиотерапиялық әдістер қолданылады. Ең жиі қолданылатын дәрілер топтары:
- Антибиотиктер. Маститте және басқа да инфекциялық ауруларда қажет. Алғашқы кезеңде кең спектрлі препараттар тағайындалып, кейін микробиологиялық талдау нәтижесіне сай түзетіледі.
- Гормоналды препараттар. Мастопатия кезінде антиестрогендер ұсынылады. Олар әйел гормондарының сүт безіне әсерін төмендетіп, патологиялық өзгерістердің өршуін болдырмауға көмектеседі.
- Стероидты емес қабынуға қарсы дәрілер (ҚҚСП). Маститте, жарақаттарда, кеуде зақымдарының салдарында қолданылады. Қабынуды азайтып, ісікті және ауырсынуды жеңілдетеді.
- Цитостатиктер. Сүт безінің қатерлі ісіктерін емдеуде қолданылады. Кейде жеке тағайындалады, кейде сәулелік терапиямен бірге қолданылады немесе операцияға дайындық кезеңінде беріледі.
Хирургиялық емдеу
Операциялық әдіс патологияның ерекшеліктеріне қарай таңдалады. Кеудедегі тығыздалулар кезінде мынадай хирургиялық араласулар жасалуы мүмкін:
- Мастит кезінде: қабынған ошақты ашу және дренаждау, абсцесті пункциялау және дренаждау.
- Киста кезінде: түзілісті алып тастау, склероздау, лазерлік вапоризация, іріңдеген кистаны ашу.
- Операциялардан кейінгі асқынуларда: сүт безі импланттарын алып тастау.
- Қатерсіз ісіктерде: түзілісті алып тастау, секторлық немесе радикалды резекция, квадрантэктомия, лампэктомия.
- Қатерлі ісіктерде: әртүрлі түрдегі мастэктомиялар, кей жағдайларда бір мезгілде немесе кейіннен маммопластика жасау.
Рактың бастапқы сатыларында органсақтаушы операциялар қолданылуы мүмкін, олар әдетте қатерсіз ісіктер кезінде жасалатын тәсілдерге ұқсас. Қайталану қаупін төмендету үшін хирургиялық емдеу сәулелік және химиотерапиямен толықтырылады.
Қорытынды
Емшектегі түйіндер – көптеген әйелдер үшін кездесетін жағдай, бірақ оны дұрыс тәсілдермен емдеуге және алдын алуға болады. Егер түйіндер үй жағдайында емделмесе немесе ауырсыну күшейсе, дәрігердің көмегіне жүгіну маңызды. «Емшектегі түйінді қалай кетіруге болады» деген сұрақтың жауабы әр әйелдің жеке жағдайына байланысты екенін есте сақтаңыз. Жылы компресстер, дұрыс емізу техникасы және массаж – түйіндерді жоюдың негізгі әдістері.








